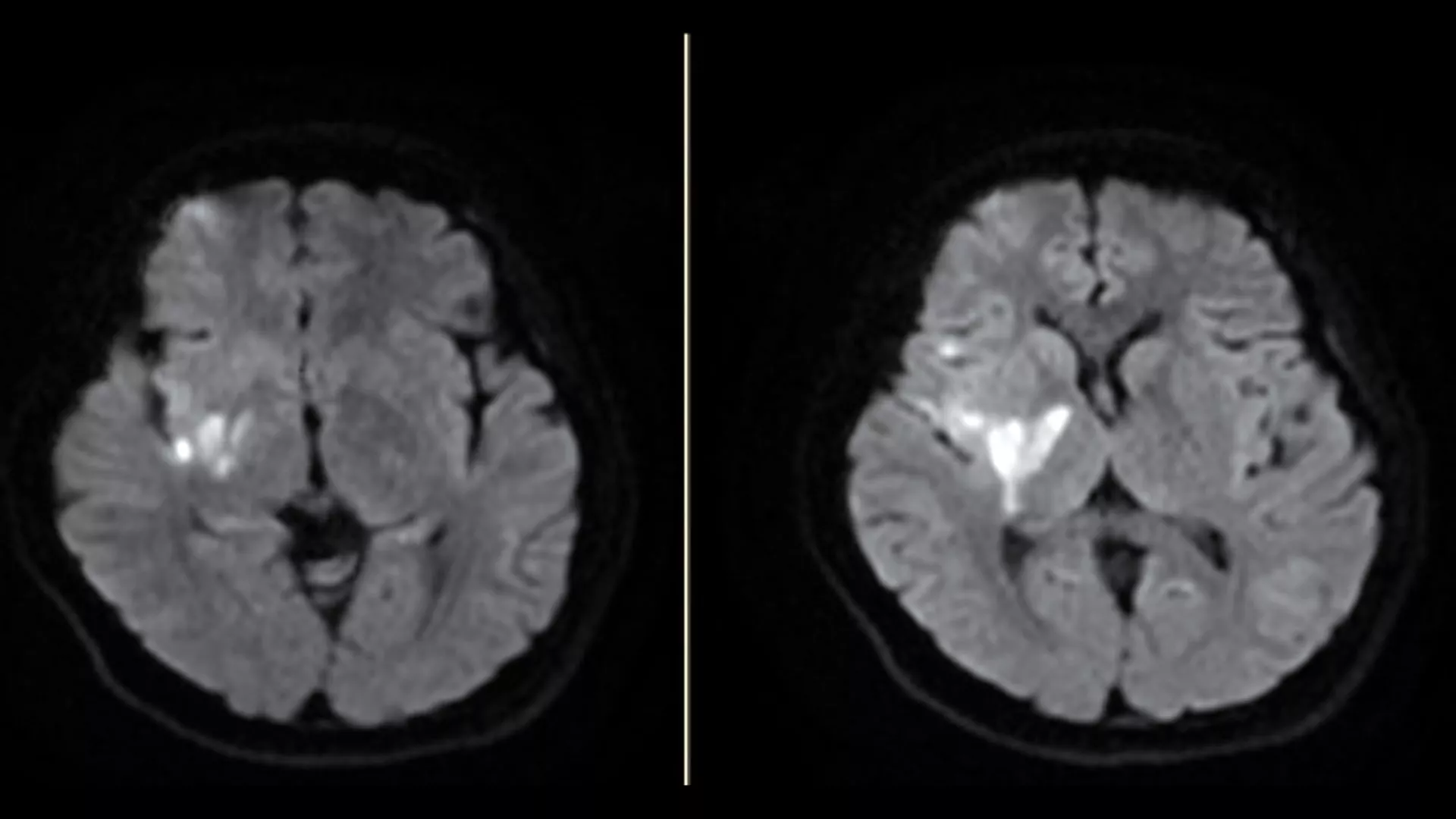
Stroke tempati urutan kelima penyebab kematian, bunuh 1 orang setiap 42 menit
Stroke bukan cuma terjadi di musim dingin, namun juga di musim panas. Statistik dari Ditjen Peningkatan Kesehatan menunjukkan bahwa setiap 42 menit, rata-rata ada satu orang yang meninggal di Taiwan karena stroke. Dokter mengingatkan, selain minum air, gejala "tiga tinggi" yang mencakup kolesterol tinggi, gula darah tinggi dan lemak darah tinggi juga harus dikontrol. Jika muncul tanda-tanda stroke seperti sudut mulut yang bengkok, segera cari pertolongan medis.
Stroke tidak hanya terjadi di musim gugur dan dingin saja, di musim panas juga
Tidak hanya di musim gugur dan musim dingin saja, di musim panas juga harus waspada terhadap stroke! Dokter mengatakan bahwa saat udara terlalu panas, keringat akan meningkat. Jika kadar air tubuh tidak diisi ulang tepat waktu, dehidrasi akan mudah terjadi dan bisa membuat kemungkinan terkena stroke meningkat secara signifikan. Menurut statistik Kementerian Kesehatan dan Kesejahteraan (MOHW), penyakit serebrovaskular ini menduduki peringkat lima dalam sepuluh besar penyebab kematian di Taiwan. Pada tahun 2022, penyakit ini merenggut 12.000 nyawa, yang berarti rata-rata satu orang meninggal karena penyakit serebrovaskular setiap 42 menit.
==Lien Li-ming//Ketua Asosiasi Stroke Taiwan==
Karena suhu yang tinggi, air dalam tubuh kita hilang
Terkadang jika Anda tidak mengisi ulang kadar air
Darah akan menjadi lebih kental
Ini mungkin merugikan jika terjadi penyumbatan pembuluh darah
Stroke yang mematikan dapat dicegah dengan minum lebih banyak air
Dokter mengungkapkan bahwa selain angka kematian akibat stroke, kecacatan dan gejala sisa akibat stroke juga memberikan beban berat bagi pasien dan perawatannya. Namun, stroke sebenarnya bisa dicegah. Jika Anda atau anggota keluarga Anda memiliki tiga dari delapan faktor utama: tekanan darah tinggi, diabetes, kolesterol tinggi, denyut jantung tidak teratur, kurang olah raga, kelebihan berat badan, merokok, dan riwayat stroke, maka sudah termasuk dalam kelompok berisiko tinggi.
==Wu Jian-yuan//Kepala Pengendalian Penyakit Kronis Ditjen Peningkatan Kesehatan (HPA)==
Jika Anda memiliki tiga dari delapan faktor ini
Anda benar-benar harus memerhatikan
Gejala stroke mulut bengkok, segera dapatkan bantuan medis dan waktu perawatan
Dokter mengingatkan bahwa kunci pengobatan stroke ada pada deteksi dini. Masyarakat dapat mengetahui ada tidaknya tanda-tanda stroke dengan tersenyum dan memeriksa pada wajah apakah sudut mulut bengkok, dengan meluruskan kedua tangan dan memeriksa apakah ada satu tangan yang lemah terkulai, dan dengan memastikan apakah ucapan jelas saat berbicara. Jika tanda-tanda stroke ditemukan, segera hubungi 119 dan segera dapatkan perawatan medis untuk mendapatkan waktu perawatan emas.
