Một người gần như mù mắt sau 2 tháng sử dụng bút tiêm giảm cân
Để giảm cân, nhiều người lựa chọn sử dụng “bút tiêm giảm cân”. Tuy nhiên, một bác sĩ nhãn khoa chia sẻ về một trường hợp bệnh nhân sau khi tiêm giảm cân liên tục trong 2 tháng, mắt trái đột ngột bị xuất huyết và gần như bị mù. Chuyên gia cảnh báo, dùng bút tiêm giảm cân có thể làm đường huyết thay đổi nhanh chóng gây phù võng mạc. Do đó, cần được bác sĩ đánh giá kỹ lưỡng trước khi sử dụng.
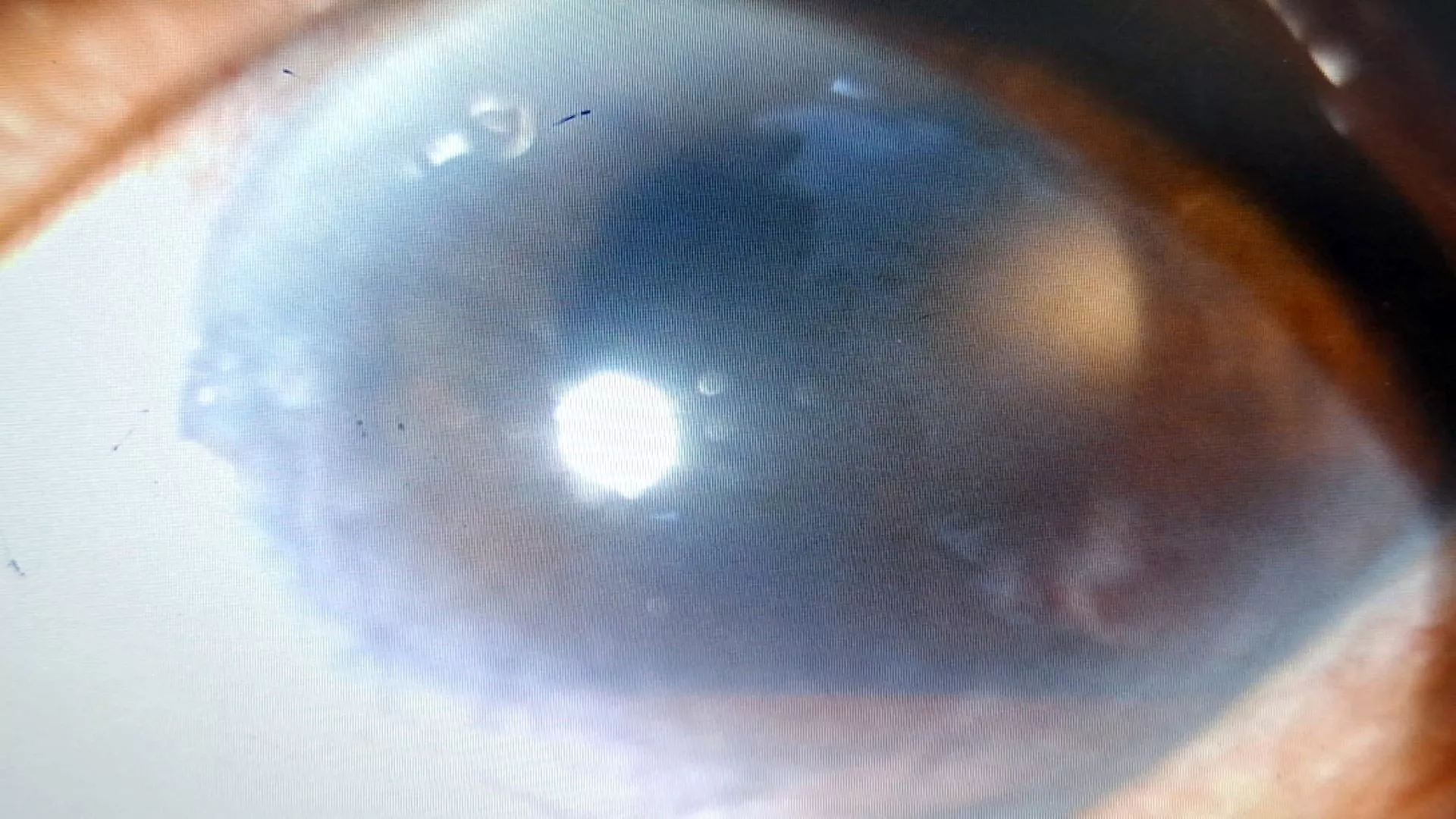
Tiếp tục gây xuất huyết sau mổ do huyết khối khoang dịch kích
Bác sĩ đưa ra tấm ảnh cho thấy tình trạng mắt trái của bệnh nhân bị xuất huyết tiền phòng và có huyết khối trong khoang dịch kính, sau khi tiến hành phẫu thuật vẫn tiếp tục bị xuất huyết, thậm chí còn xuất hiện cục máu lớn che phủ lớp nội mô giác mạc, ngay cả khi làm phẫu thuật thêm một lần nữa, tiền phòng cũng vẫn bị xuất huyết. Bác sĩ cho biết sau khi tìm hiểu mới biết rằng, bệnh nhân đã liên tục sử dụng mũi bút tiêm giảm cân trong vòng 2 tháng.
== Bác sĩ nhãn khoa Hồng Khởi Đình ==
Máu của bệnh nhân như nước suối
không ngừng tuôn ra.
5 ngày sau (phẫu thuật) chúng tôi vẫn phát hiện thấy,
máu lại tiếp tục chảy ra.
Bệnh nhân có tiền sử bệnh võng mạc, mắt trái mất thị lực sau tiêm
Theo bác sĩ cho biết, người đàn ông họ Lâm 62 tuổi này vốn có tiền sử “bệnh võng mạc tiểu đường tiền tăng sinh”, vào đầu năm nay mắt trái bỗng nhiên cảm thấy tối thui, sau khi đi khám phát hiện bị chảy máu liên tục gần như bị mù. Bác sĩ đã yêu cầu bệnh nhân này lập tức ngừng sử dụng bút tiêm giảm cân, nhưng hiện tại mắt trai chỉ có thể cảm nhận ánh sáng lờ mờ, gần như đã bị mất chức năng.
Bút tiêm giảm cân làm hạ HbA1c, gây nguy cơ phù võng mạc
Cũng có bác sĩ cho biết, bút tiêm giảm cân chủ yếu được sử dụng để điều trị cho người mắc tiểu đường tuýp 2 và người bị béo phì, nó có thể kiềm chế cảm giác thèm ăn, kéo dài thời gian làm rỗng dạ dày, nhưng cũng sẽ gây buồn nôn và nôn ói, cũng như tác dụng phụ đối với hệ tiêu hóa, người bị mắc tiểu đường càng phải cẩn trọng hơn. Đối với việc liệu bút tiêm giảm cân gây biến chứng võng mạc hoặc xuất huyết hay không, thì hiện chưa có bằng chứng trực tiếp, tuy nhiên khi hệ số đường huyết Hemoglobin Glycosyl hóa giảm sẽ dẫn đến phù võng mạc gây chảy máu, vì vậy trước khi sử dụng bút tiêm giảm cần được bác sĩ đánh giá kỹ lưỡng.
