Pakai suntik kurus 2 bulan, pria nyaris buta akibat pendarahan di bilik anterior mata
Dokter mata yang baru-baru ini menangani sebuah kasus pasien yang menggunakan suntik kurus selama dua bulan berturut-turut, menemukan bahwa mata kiri pasien mengalami pendarahan dan nyaris buta. Dokter mengingatkan "suntik kurus" dapat mempercepat perubahan gula darah, yang berpontensi memengaruhi retina, pasien harus menjalani evaluasi medis yang cermat sebelum menggunakannya.
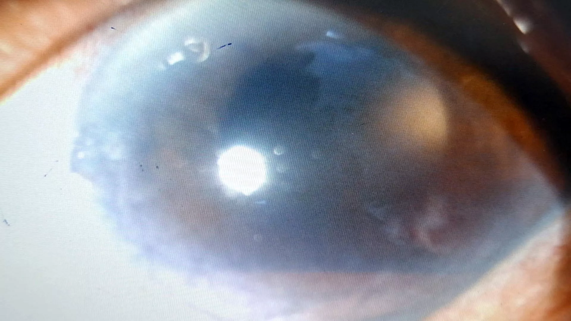
Walau telah dioperasi, pasien tetap alami pendarahan di bilik anterior matanya
Foto yang ditunjukkan dokter memperlihatkan pendarahan di bilik anterior mata kiri dengan gumpalan darah di dalam rongga vitreus pasien. Kondisi pendarahan berlanjut bahkan setelah operasi, gumpalan darah menutupi lapisan dalam kornea. Walau telah menjalani operasi kedua, pasien tetap menunjukkan pendarahan di bilik anteriornya. Setelah meminta keterangan, dokter baru menemukan bahwa pasien telah menggunakan “suntik kurus” selama dua bulan berturut-turut.
==Hong Qi-ting // Dokter mata==
Darahnya (pasien) seperti air mancur
Terus menyembur dan muncrat
5 hari kemudian (usai operasi), kami menemukan
Darahnya tetap mengalir keluar
Mengidap penyakit mata, pria hampir buta karena menggunakan produk suntik kurus
Dokter menyatakan, pria usia 62 tahun bermarga Lin mengidap gejala retinopati proliferatif anterior pada mata kirinya, dan penglihatannya tiba-tiba menjadi hitam total pada awal tahun ini. Pemeriksaan lebih lanjut mengungkapkan kondisi pendarahan berkelanjutan, yang nyaris membuatnya buta. Dokter menyarankannya untuk berhenti menggunakan "suntik kurus", namun saat ini, mata kirinya cuma bisa merasakan cahaya, yang artinya ia hampir kehilangan semua fungsi indra penglihatannya.
Suntik kurus tekan kadar hemoglobin terglikasi, berisiko picu edema retina
Dokter lain menyatakan, berhubung efektif menekan nafsu makan dan memperlambat proses pencernaan lambung, produk “suntik kurus” digunakan terutama untuk mengobati diabetes tipe 2 dan obesitas, namun juga dapat menyebabkan efek samping seperti mual, muntah dan gejala gastrointestinal. Pasien diabetes harus waspada. Terkait apakah suntik kurus menyebabkan lesi retina atau pendarahan, saat ini belum ada bukti langsung. Namun, berhubung suntik kurus dapat menurunkan hemoglobin terglikasi, yang berpotensi menyebabkan edema retina dan pendarahan, pasien perlu berdiskusi dengan dokter sebelum menggunakan produk.
